
bacteria in the images per 1,000× field is similar
as the relationship of shapes between BSE cells and
leukocytes in the images per 100× field for sputum.
Based on this observation, in this paper, we extend
the method to detect Gram types from the images per
1, 000× field to the method to detect the Geckler clas-
sification from the images per 100× field for sputum.
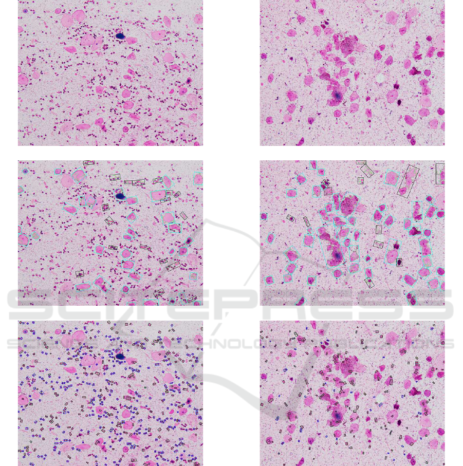
In this paper, we first detect the regions of BSE
cells and leukocytes in the images for sputum per
100× field like as those of bacteria and leukocytes
for images per 1, 000× field (Iida et al., 2020). Then,
after constructing training data for the Geckler clas-
sification, that is, assigning to the labels to BSE cells
and leukocytes, we detect the Geckler class from a
given image by using the machine learning of SVM
(support vector machine) and DNN (deep neural net-
work).
1.1 Related Works
Note that the method to detect bacteria or Gram types
from the Gram stained smear images per 1, 000× field
have developed by several researchers (Lejon and An-
dersson, 2016; Smith et al., 2018). However, their
works have dealt with images for the sample of blood,
not sputum.
On the other hand, as related works to this paper,
Carvajal et al. (Carvajal et al., 2014) have developed
the system to learn the candidate images from training
data, consisting of fixed size (51 × 38 pixels) images,
applicable to the microscope test with high magnifica-
tion. Here, the training data are assigned to 4 labels,
that is, (1) the candidate areas for high magnifica-
tion, (2) those but pathologists observed no bacteria,
(3) the dense and dark area difficult to diagnosis and
(4) background areas or areas with non-bacterial sub-
stances. They have also dealt with the Gram stained
smear images for the sample of blood, not sputum,
per 64× field.
Crossman et al. (Crossman et al., 2015) have de-
veloped the method to detect the regions of BSE cells
and leukocytes by using multiple covariance approach
with Kernel SVM from manually cropped images of
BSE cells, leukocytes and other negative data for the
Gram stained smears images par 65× field. Since the
shape and the size of BSE cells have wide variety in
the Gram stained smear images for the sample of spu-
tum, in order to achieve the Geckler classification by
using their work, it is necessary to start to detect the
regions of BSE cells carefully.
Then, in this paper, we first detect the candi-
date regions of BSE cells and leukocytes from Gram
stained smear images for the sample of sputum, by
using the similar method of (Iida et al., 2020) appli-
cable to wide variety of the shape and the size of BSE
cells. Then, after constructing the positive and nega-
tive data of BSE cells and leukocytes, we detect the
Geckler class for every image.
2 DETECTING GECKLER
CLASSIFICATION
In this paper, we use Gram stained smears images per
100× field for sputum, provided from Osaka General
Medical Center. Table 2 represents the number of im-
ages to construct training data (which we call training
images) and to test the classifier for the Geckler clas-
sification (which we call test images) for every Geck-
ler class.
Table 2: The number of training images and test images for
every Geckler class.
Geckler class 1 2 3 4 5 6 total
training images 19 20 20 19 19 10 107
test images 20 14 28 18 16 11 118
2.1 Detecting Candidate Regions
In order to detect the regions of BSE cells and leuko-
cytes from training images, we use the similar method
as (Iida et al., 2020). First, as image processing, we
apply the following processes to every training image:
1. Grayscale by the NTSC (nonsubsampled con-
toulet transform) coefficient method (Keahler and
Bradski, 2013) under the following formula from
the RGB values for every pixel:
Y = 0.298912R + 0.586611G + 0.114478B.
2. Binarization under the adaptive threshold-
ing (Keahler and Bradski, 2013) with the size N
of neighbor and the subtractive constant C.
3. Opening processing (Keahler and Bradski, 2013)
at P times as applying the dilations after applying
the erotions.
4. Edge detection by the Canny filter (Canny, 1986).
5. Detecting candidate regions of BSE cells and
leukocytes within the ranges [S
min
, S
max
] of areas,
[A
min
, A
max
] of aspect ratio and [C
min
,C
max
] of cir-
cularity.
Note that the processes of the binarization and the
opening processing are essential to detect wide vari-
ety of the shape and the size of BSE cells, because
the opening processing complements to capture the
regions not to capture the binarization.
ICPRAM 2020 - 9th International Conference on Pattern Recognition Applications and Methods
470